白血病では,転座などの染色体異常が見られることが診断に有用ですが,番号を正しく覚えるのは大変です.ゴロ合わせの出番です.
- M2 t(8;21)
- M3 t(15;17)
- M4 inv(16)
- CML t(9:22)
- Burkittリンパ腫 t(8;14)
- 濾胞性リンパ腫 t(14;18)
- マントル細胞リンパ腫 t(11;14)
M2 t(8;21)
むっつりバーニー,アウアウ.
むっつ(M2)りバーニー(t(8;21)),アウアウ(アウエル小体)
むっつりしたバーニーが呻いている様子をイメージします.
M3 t(15;17)
アップルにまさかいい子いない.
APL(急性前骨髄球性白血病)にまさか(M3)いい子いな(t(15;17))い.
M4 inv(16)
4^2 = 16
4の2乗は16とおぼえます.
M4はinv(16)
CML t(9:22)
クニに帰ろう,フィラデルフィアへ
クニに(t(9:22))帰ろう,フィラデルフィア(染色体)へ
Burkittリンパ腫 t(8;14)
バキッ!はいよー
バキッ!(Burkittリンパ腫),はいよー(t(8;14))
チューペットを割って片方を渡す様子をイメージしてください.
濾胞性リンパ腫 t(14;18)
ほろ酔い,いい酔いや
ほろ酔い(follicular; 濾胞性リンパ腫),いい酔いや(t(14;18))
お酒はほどほどに飲めば,ほろ酔いになって気持ち良いということです.
マントル細胞リンパ腫 t(11;14)
マントはヒーローに重要
マント(マントル)はヒー(11)ローに重要(14)
マントをつけていないと,一見ヒーローには見えないです. ( マントをつけない「Mr.インクレディブル」 - カクレマショウ )
ヒーローは16ではなくて11です.ややこしいですが,マントといえばヒーローなのでイメージを優先しています.転座の番号は小さいものから順番に記載することを考えれば,16は14よりも大きいから間違っていることに気づけると思います.
頑張ってこれらのゴロ合わせ暗記すれば,血液疾患の数字はほとんど制覇できると思います.問題を解いてみましょう.
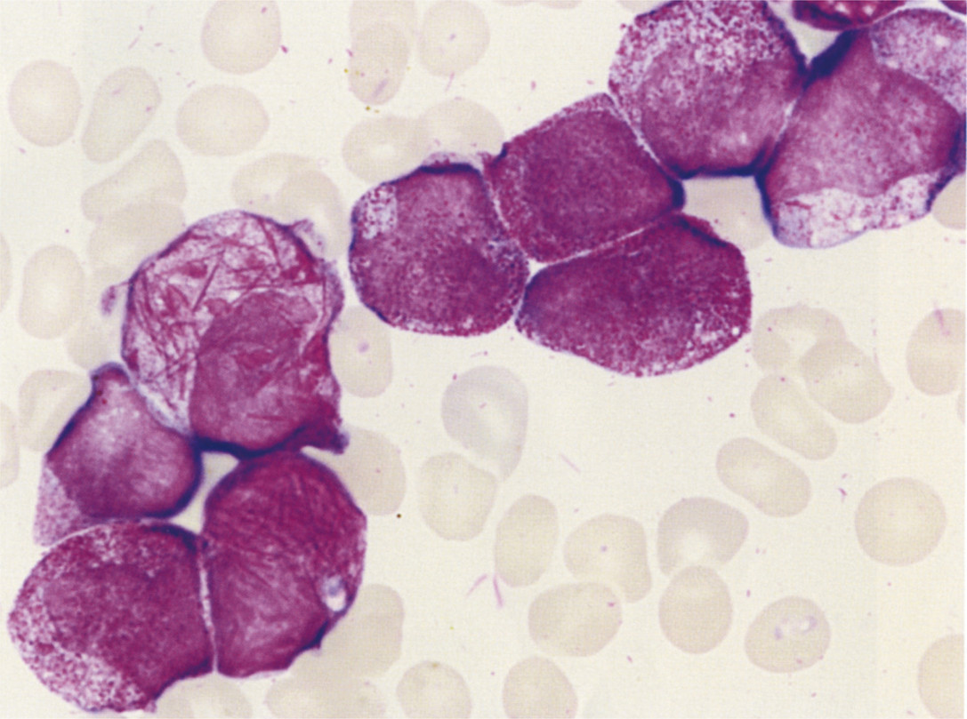
107I13
汎血球減少症を呈する患者の骨髄血塗抹May-Giemsa染色標本を次に示す.この患者にみられる染色体異常はどれか.
![]()
a t(8;14)
b t(8;21)
c t(9;22)
d t(15;17)
e inv(16)
ファゴット細胞があります.「アップルにまさかいい子いない.」ですから,t(15;17)ですね.dが正解です.
